【德誠培訓·口腔修復體制作工】牙醫爆料口呼吸對顏值的毀滅性
牙醫: “這孩子是不是有鼻炎啥的,老用嘴巴呼吸啊” 。
家長:“是啊,是啊,您真是料事如神,醫生,您還兼職看相算命嗎?”
牙醫:“是啊,我業務廣泛,名下還有個健身房,來來來,游泳健身了解一下?!?
這是個段子
雖然是段子,還是有現實依據的,因為長時間口呼吸的人,在面容方面有明顯的變化,有經驗的牙醫,一般都能看的出來。
其實,牙醫能看出來是否長期有口呼吸的習慣,說明兩件事:1、口呼吸嚴重影響顏值。2、必須想辦法解決口呼吸的問題。接下來,讓我們進一步了解“口呼吸”的危害。
01、口呼吸的孩子有哪些特征?
如果孩子有下列特征中的一個或者幾個,家長就要考慮到孩子是否有口呼吸的習慣了:
1、經常張著嘴。紅箭頭所指的小孩,嘴巴微張不是他在微笑,這就是他的日常表情,因為他用嘴來呼吸。如果你家孩子班上也有這樣一個小孩,請你受累告訴他或家長:得治。
2、無精打采 “癡呆面容”。如果你印象中有個同學成天表情就是這樣的,開唇露齒,表情呆滯,口呼吸問題確實已經開始影響TA的身高、智力發育。(正常鼻呼吸刺激生長激素分泌,口呼吸的孩子則分泌較少)
3、少年黑眼圈。當人們用正常的鼻氣道通氣方式進行呼吸時,鼻竇產生一氧化氮有助提升人體血氧飽和度18%之多??诤粑鼊t不,血氧飽和度高,“青皮蛋”就少。看看身邊孩子,小小年紀就有明顯黑眼圈的,十之八九已經患有口呼吸。
4、張嘴睡覺。小孩睡覺時,呈這樣的呆萌畫風,一定就是口呼吸?其實不,張口睡覺不代表孩子在用嘴巴呼吸。對于這樣的小孩,家長可在TA熟睡之際,取一面小鏡子放在嘴巴前方,如果鏡子上有霧氣起伏,就可以確定孩子是在口呼吸。
5、睡覺打鼾。睡覺打鼾的孩子基本都是口呼吸,嚴重的可引起睡眠呼吸暫停綜合癥,伴隨一生,是非常危險的。
6、“小胖子”/“多動癥”。每個班里總有一個小胖子、一個多動癥,這里可以告訴大家,口呼吸的孩子由于血氧飽和度低影響睡眠質量,白天會比其他孩子懶得動,造成體重過重,比其他孩子上課時更需要借助外力集中注意力,因此經常小動作或不得不與同學說話來克服自己的注意力渙散,他們常被冤枉成“多動癥”。
7、典型容貌??诤粑暮⒆觽黄?,很大程度還體現在他們的外貌上。那是怎樣的?每天變丑一點點的結局是怎樣的?
面容:上唇較短,開唇露齒,有時嘴唇有外翻傾向,下頜后縮。
身姿:現在的學齡小孩很多使用拉桿書包,很多脖子前探、“駝背”等不良站姿、坐姿并不一定來自于書包負重,而是口呼吸。
8、口腔潰瘍/扁桃體/腺樣體腫大。
口呼吸時,氣流不像鼻呼吸那樣經過鼻腔內的濕潤/加溫/減速/過濾,因此,更容易對黏膜產生刺激,引起口腔潰瘍和扁桃體、腺樣體腫大,而扁桃體、腺樣體腫大又會進一步堵塞氣道,造成鼻氣道壓力增加,再次增大口呼吸的發生率。
02為什么會有口呼吸?
1、鼻咽部的氣道發生阻塞,通氣量不足,不得不張口呼吸。常見有以下情況:
1)腺樣體、扁桃體肥大。腺樣體、扁桃體為咽部的淋巴組織,發炎時腫大,引起氣道狹窄。腺樣體位于鼻腔最后面,生理情況下,5歲體積達到最大,7歲開始萎縮。
2) 過敏性鼻炎。過敏性鼻炎癥狀為鼻分泌物增多、鼻癢、鼻塞,是青少年兒童氣道阻塞的重要因素之一。過敏性鼻炎與腺樣體肥大互相影響,久之會發生口呼吸,變成下圖經典的“腺樣體面容”。在霧霾天多發的異常氣候里,家長更需多加關注孩子的鼻咽健康。
3) 鼻中隔偏曲、鼻息肉、鼻甲肥大等其他鼻部異常。
CT顯示扭曲的鼻中隔(黃線)使經鼻氣道不暢,多源于面部撞擊傷。
2、不良習慣
1)鼻子通暢的前提下卻用口呼吸,純粹不良習慣。
2)鼻子不通的原因解除,但是口呼吸習慣仍未破除。
03、口呼吸的危害
1 、牙列畸形。引起牙列畸形的重要原因是舌的位置錯誤!正常情況下,舌體靜息時(閉口時)的正常位置是輕觸上顎,水平面上來看,上顎內有舌肌向外推,外有頰?。娌考∪猓┫騼葦D,在力的平衡中正常發育。
A:正常舌位置和后牙關系。B:口呼吸時舌位置較低,伴有后牙反頜。
為了進行口呼吸,孩子大部分時間下頜下降,以使嘴巴張開,舌體跟隨下頜骨下降,舌體與上顎喪失接觸。外部頰肌力量沒有與之抗衡的,因此擠壓上顎變窄、高拱,相應的,上頜牙齒開始擁擠、不齊,最明顯的是上前牙前突(齙牙);后牙反頜也會發生。
同時,口呼吸時,舌會臥于下頜前牙上,影響前牙垂直向發育,會導致前牙開合。據統計,3-6歲兒童中,口呼吸和前牙開合的關聯率為35.5%。
前牙開頜
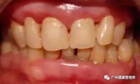
2、牙周疾病。長期口呼吸常伴有前牙,尤其上前牙的菌斑堆積、牙齦發炎??诤粑鼤r會帶走口腔諸多水分,干燥的口腔環境缺少了唾液的機械沖刷和殺菌作用,菌斑堆積,牙齦發炎。而且,鼻呼吸的人唾液呈堿性,而口呼吸的人唾液偏酸,酸性環境也不利于牙齒和牙齦健康。
口呼吸者牙齦紅腫、光亮
3、損傷顏值。先來幾個經典例子感受下“顏值殺手“的威力。
看這個男孩10歲時的照片,嘴唇閉合,面部比例自然協調。14歲時,他的爸爸送給他一只沙鼠作為生日禮物,他就一直養在房間里,同屋的3年里,雖然他對鼠毛過敏,但是他卻寧可口呼吸也不肯送掉這只沙鼠。17歲時的照片,已經長偏了——開唇露齒;嘴唇松弛無力、外翻;下頜骨下降、舌位置下降引起顴骨發育不良、不夠突出;面容拉長;下眼瞼也有些外翻。如果沒有口呼吸,按照基因編碼表達,本該是名美男子呢。
再來看一對英國的親姐妹,Kelly7歲和Samantha8歲時因口呼吸問題就診,之后Kelly糾正了口呼吸,9歲時的照片顏面骨骼發育良好,但是Samantha仍用口呼吸,2年后的照片看來,和妹妹相比,上前牙突出;臉頰扁平拉長;下頜后縮??搭佒担緛矶际翘焓箖和模Y果一個長成了天使姐姐,一個卻長成了天使猴猴。
4、智力精力注意力下降及其他危害。口呼吸與正常鼻通氣相比,吸入的氧氣量更少,長期血氧飽和度低會影響發育中的各個重要器官??诤粑暮⒆铀哔|量并不高,睡眠中常有打鼾現象,白天則表現為容易困、精力渙散、興趣缺乏。
口呼吸常伴發錯頜畸形,所以顳下頜關節紊亂和吐字不清也常出現。除此之外還會出現嘴唇干裂,嗅覺刺激減少,食欲不振,加之咀嚼力下降,影響進食等情況,口呼吸因為缺乏鼻部的加熱加濕過濾,也容易誘發下呼吸道疾病。
04、口呼吸應該怎么辦?
孩子成長發育的每一步都是不可逆的,3-15歲是治療孩子口呼吸的黃金年齡。一旦確定孩子有口呼吸,家長應立刻采取如下行動:
1、確保孩子能通過鼻氣道呼吸,否則應前往醫院耳鼻喉科治療;
2、確保孩子已經治療過敏,因為過敏迫使孩子不得不口呼吸;
3、總結你的孩子已經發生上文中哪些口呼吸癥狀,記錄下來;
4、咨詢牙醫,幫助孩子通過早期咬合誘導,第一時間治療TA的口呼吸,杜絕后續任何不良發育影響。
德誠培訓
為了適應口腔修復體制作行業的快速發展
適應市場相應人才培養的需要
結合國家衛健委人才交流服務中心的考試安排
開設“口腔修復體制作工”職業資格考前培訓班
正火熱招生中
想要拿高薪!那就關注我們吧
微信公眾號
德誠學院官網
問:老師,您好!健康管理師怎么報考呢?
答:學員,你好!詳情請參照《關于舉辦第35期健康管理師國家職業資格考前培訓班的通知》,如有疑問,請與德誠學院招生老師聯系,希望能幫助到您!
德誠學院校區地址
校區:
廣州市黃埔區聯和街龍朱路1號南方易磬創新園
學院報名電話: 020-84264281
學院聯系人電話:
156-2512-1499 鐘老師
150-8372-3352 鐘老師
133-9212-3507 黃老師
130-7302-5927 關老師
131-2938-6797 許老師
183-1230-9808 姚老師
職業培訓,首選德誠
往期精彩回顧
上新 |注意!健康管理師4月27日考試,了解“潛規則”,助你圓夢
上新 |德誠學院首期養老護理員(居家健康照護)技能崗前培訓班火爆開班了!
上新 |為鄉村醫生配備健康管理師的官方建議,看看健康管理師發揮多大的作用?
上新 |開獎,速來圍觀!
上新 |校慶大禮包!速搶|今天是你的生日,我的廣東省德誠職業培訓學院
上新 |考場直擊|健康管理師職業技能全國統一鑒定考試“縱然你千變萬化,我悠然自得”
上新 |實況報道|王培玉教授親臨德誠學院,直擊健康管理師考試重難點!
上新 |重要直播|《健康管理師》教材編委王培玉教授應邀親臨德誠學院開展考前串講






